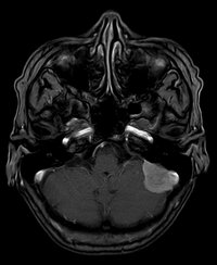
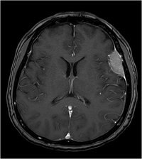
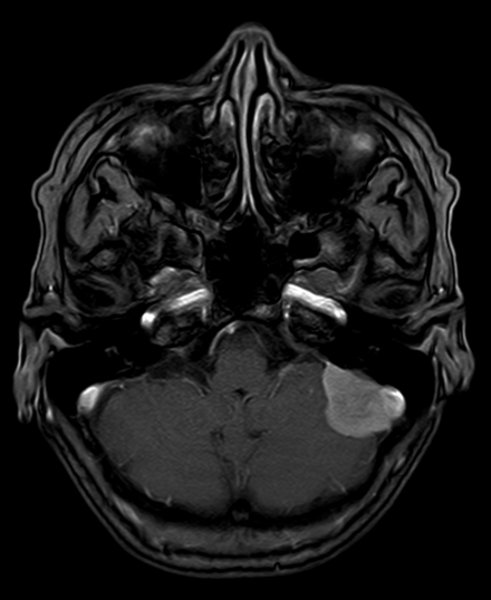
Meningeom

Meningeom - T1 mit KM

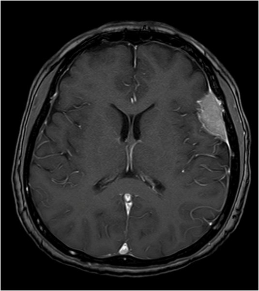
Konvexitätsmeningeom - T1 mit KM

Konvexitätsmeningeom - T1 mit KM

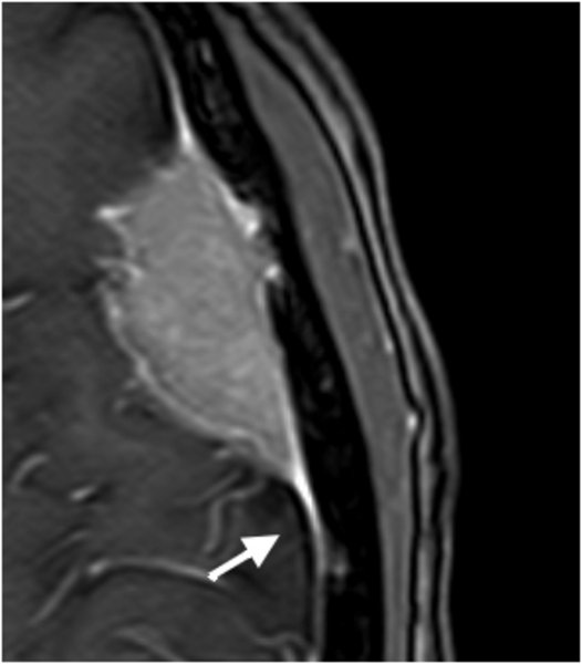
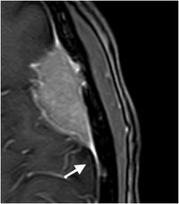
Konvexitätsmeningeom mit charakteristischem "dura tail".