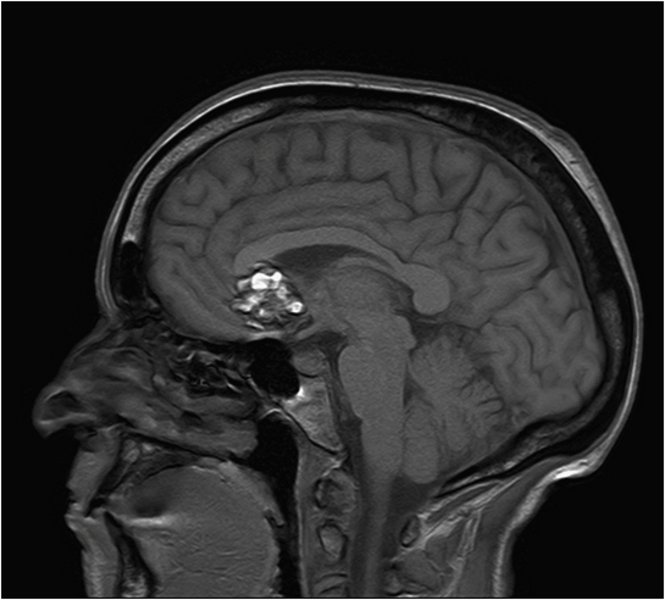
Kavernom

Kavernom - T1 sagittal

Charkateristische Haemosiderinabbauprodukte in Form
von hypointensen Signalalterationen

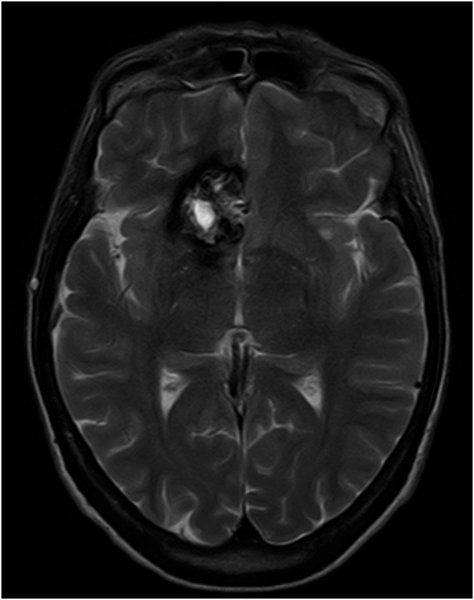
Kavernom - T2 axial

Charkateristische Haemosiderinabbauprodukte in Form
von hypointensen Signalalterationen