Neurologienetz
Das Informationsportal für Ärzte
Ärztebereich Login
Kontakt
Menü
Home
News
Pharma-News
Neuro-News
Fachliches
Erkrankungen
Informationen zu neurologischen Erkrankungen
Medikamente
Medikamentendatenbank und Zulassungen
Die neurologische Untersuchung
Methoden der Untersuchung
Aktuelle Studien
Aktuelle Studien im Bereich Neurologie
Neurophysiologie
Nervenleitungsgeschwindigkeiten
Skalen & Scores
Skalen und Scores
Neuroradiologie
Neuroradiologischer Bildatlas
Heil- & Hilfsmittel
Aktuelles aus der Neurologie
Neurogenetik
Liste der vererbbaren Krankheiten
Medizinische Informationsseiten
Weiterführende Links
Fortbildungen
Neurologische Fortbildungen in Deutschland
Fortbildungen nach Themen und PLZ selektierbar
Fortbildungen zur Elektrophysiologie
Fortbildungen zu den Themen EEG, EMG, NLG und EP
Fortbildungen zur Ultraschalldiagnostik
Doppler, Duplex, TCD, TC-Duplex, Muskel- und Nervensonologie
Neurologie Fortbildungen im Ausland
Weltweite internationale neurologische Fortbildungen
Online Fortbildungen zum Thema Neurologie
Webbasierte neurologische Fortbildungen
Eigene Fortbildung eintragen
Schnell, unkompliziert und kostenlos
Adressen
Kliniksuche
Neurologische Kliniken in Deutschland
Privatambulanzen
Parkinson-Kliniken
Epilepsiezentren
Adresseintrag
Neurologische Rehakliniken
Neurologische Universitätskliniken
MS-Kliniken
Schmerzkliniken
Praxisorganisation
TimeControl
MEDorganizer®
AZ-Controll MX
EPIKUR | Praxissoftware für Neurologen
Dragon Medical Practice Edition 2
Medizintechnik
Digitale Gesundheitsanwendungen
Elektrophysiologie
Schlaganfall Risikoanalyse
Ultraschalldiagnostik
Neuromodulation
Zubehör zur elektrophysiologischen Diagnostik
Stellenmarkt
Medien
Neurologische Fachliteratur
Neuerscheinungen und diverse Themengebiete
Neurologie Podcasts
Podcasts zu neurologischen Themen
Aktuelle Literaturempfehlungen
Interessante Fachartikel
Medizinische Apps
Neurologie und Medizin Apps
Patientenratgeber
Ratgeber für neurologische Erkrankungen
Neurologische Fachzeitschriften
Zeitschriften zum Themengebiet Neurologie
Filme zu neurologischen Erkrankungen
Neurologie im Film
Biographien
Biographien und Krankheitsgeschichten
Belletristik
Belletristik mit Themen aus Neurologie und Psychiatrie
Ärztebereich Login
Kontakt
Startseite
Fachliches
Neuroradiologie
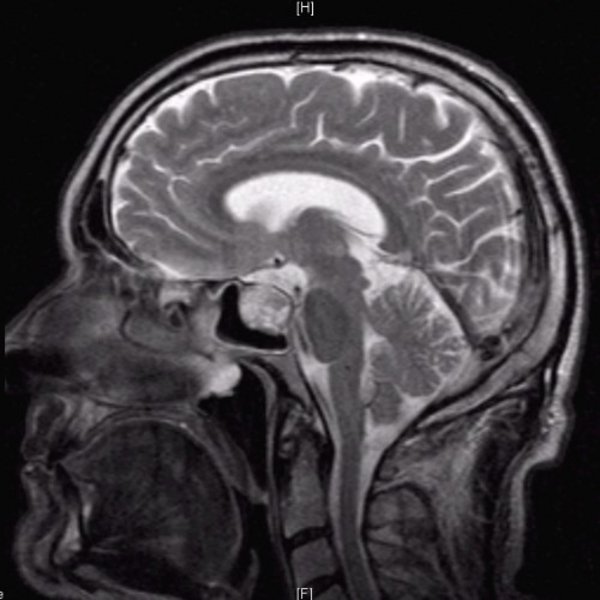
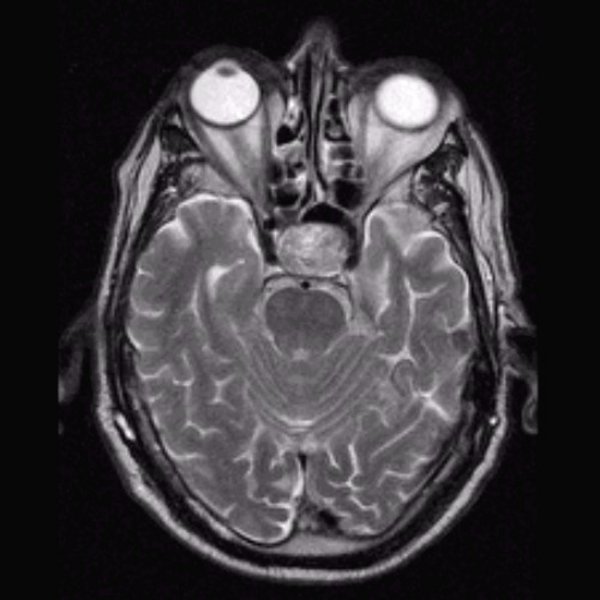
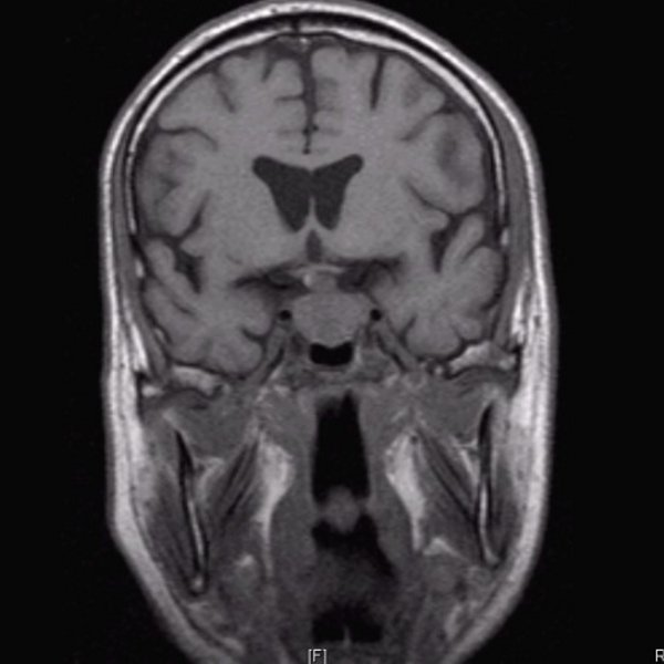
Hypophysenadenom
Hypophysenadenom
Hypophysenadenom T2 sagittal
Hypophysenadenom T1 cor
Hypophysenadenom T2 transversal