Epidermoid

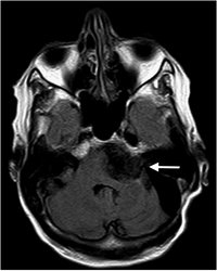
Epidermoid - T1 mit KM - axial

Keine Kontrastmittelaufnahme

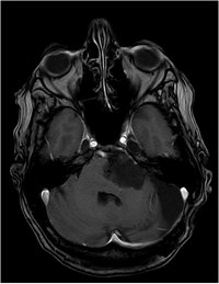
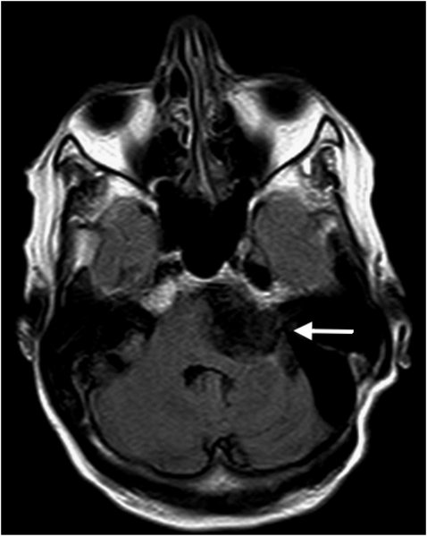
Epidermoid - T2 - axial

Liquorintenses Signal in T2

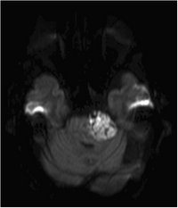
Epidermoid - DWI - axial

Fehlendes Liquorsignal als Signalsteigerung 
DD: Arachnoidalzyste, mit  Liquorsignal in allen Sequenzen

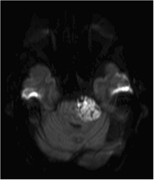
Epidermoid - Flair - axial

Fehlendes Liquorsignal als Signalsteigerung 
DD: Arachnoidalzyste, mit  Liquorsignal in allen Sequenzen