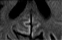
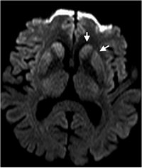
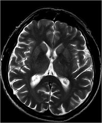
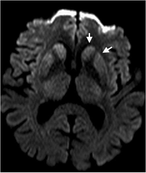
Creutzfeldt-Jakob-Krankheit

Creutzfeldt-Jakob - T2 - axial

Typische kortikale Signalsteigerung in der Diffusionwichtung.

Creutzfeldt-Jakob - DWI Vergrößerung - axial

Typische kortikale Signalsteigerung in der Diffusionwichtung.

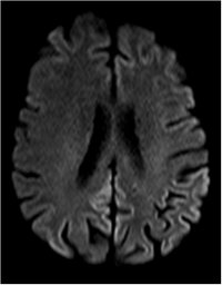
Creutzfeldt-Jakob - DWI - axial

Typische Signalsteigerung Ncl. Caudatus und Putamen.

Creutzfeldt-Jakob - T2 - axial

Creutzfeld-Jakob Erkrankung. Typische Signalsteigerung Ncl. Caudatus und Putamen.
(Siehe auch vorheriges Bild)