Chorea Huntington (ICD-10 G10)

Huntington-Krankheit, Veitstanz, Morbus Huntington, danse de St. Guy

  • Benannt nach George Huntington, der die Krankheit 1872 im Alter von 22 Jahren beschrieb
  • Frühere Beschreibungen durch Elliotson 1832
  • 1993 Nachweis des Huntingtin-Gens

Ätiologie

  • Autosomal dominante neurodegenerative Erkrankung
  • Chromosom 4 (4p16.3, siehe Neurogenetik)
  • Degeneration von Globus pallidus, Striatum, Ncl. caudatus, Putamen
  • CAG-Repeat (>38) mit Antizipation
  • Häufigkeit des CAG-Repeats korreliert invers mit dem Erkrankungsalter

Epidemiologie

  • Auftreten in 2-3 Dekade, selten > 60 Jahre
  • Prävalenz ca. 5/100000
  • Ca. 8000 Erkrankte in Deutschland

Symtome

  • Verhaltensstörungen und Psychosen:
    • Depression, Ängste, wahnhafte Störungen
    • Enthemmung, Reizbarkeit, Delinquenz, Aggressivität
  • Bewegungsstörung:
    • Chorea (unkontrollierbare, ausfahrende Überbewegungen, Tics, initial an den Extremitäten, Schultern und Gesicht, im Verlauf am ganzen Körper
    • Im Schlaf fast vollständiges Sistieren der Bewegungsstörung
  • Dementielles Syndrom
  • Selten Grand mal
  • Westphal-Variante :
    • Frühe Manifestation (Kindesalter)
    • Rigide Bewegungsstörung
    • Rascher Verlauf mit Tod innerhalb weniger Jahre

Besonderheiten bei der klinischen Untersuchung

  • Motorische Impersistenz (Zunge kann nicht 10s ruhig herausgestreckt werden)
  • Sakkadierende Blickfolge
  • Verminderte Konvergenzreaktion
  • Gordonsches Kniephänomen (Westphal-Reflex) nach Ausläsen des PSR, langsames Absinken des Unterschenkels
  • Erhöhte Ablenkbarkeit: Patient soll ruhigen einen Finger in peripherem Gesichtsfeld fixieren, folgt jedoch unwillkürlich dem anderen bewegten Finger
  • Luria-Test: Patient soll fortlaufend nacheinander mit Faust, Handkante und flacher Hand auf den Oberschenkel klopfen
  • Pathologischer optokinetischer Nystagmus
  • Pseudointendierte Bewegungen - Parakinesie (kaschieren Überbewegung)
  • Muskelhypotonie, im Verlauf rigorartige Tonuserhöhung
  • Störung der Dysdiadochokinese (Fingerklopfen, alternierende Handbewegungen)
  • Ideomotorische Apraxie
  • Tics, Überbewegungen
  • Sprach- und Schluckstörungen

Therapie - (Detaillierte Informationen erst nach Ärzte-Login)

Um detaillierte Informationen zu den Präparaten zu erhalten loggen Sie sich bitte mit DocCheck in den Ärztebreich ein. (Diese Seite muß dann hierzu neu geladen werden)

 

  • Bewegungsstörung:
    • Tiaprid, Haloperidol
    • Tetrabenazin
    • Tremor: Clonazepam
  • Psychische Veränderungen:
    • Antidepressiva (SSRI)
    • Neuroleptika
    • Anxiolytika (Alprazolam, Lorazepam)

Diagnostik

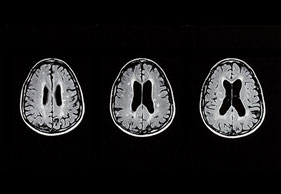
  • MRT-Kopf (Erweiterung der Vorderhörner, Atrophie Straitum)
  • Vorstellung in humangenetischer Sprechstunde
  • Genetische Diagnostik (siehe Neurogenetik)
  • SSEP (Med./Tib.): Geminderte Amplituden
  • Blinkreflex: Verzögerte R2-Latenz
  • Testpsychologie: WCST, Turm von Hanoi u.a.
  • Ev. ENG
  • Ev. SPECT: Striataler Hypometabolismus

Verlauf

  • Initial häufig psychische Veränderungen mit leichten Bewegungsstörungen
  • Im Verlauf Zunahme der Bewegungsstörung und Hinzutreten der Demenz
  • Progredienter Verlauf mit letalem Ausgang
  • Erkrankungsdauer 10-25 Jahre

Differentialdiagnose

  • Spinocerebelläre Ataxie (Typ 17), Choreo-Akanthozytose, Dystonien, Dementielle Erkrankungen