Neuro-News

Aktuelle Themen
rund um das Thema Neurologie

Newsletter für Ärzte

Letzte Beiträge

Seh- und Hörstörungen sind die charakteristischen Symptome des Susac-Syndroms, das erstmals von dem amerikanischen Neurologen John Susac im…Weiterlesen

Ingmar Wellach, Thieme Verlag 2020, 3. überarbeitete Auflage 2021, 608 S. 238 Abb., € 99,99.-

Das Werk „Praxisbuch EEG“ hat sich in seiner…

Weiterlesen

Der Titel lässt vermuten, dass hier Ratsuchenden, die unter Schlafstörungen leiden, in 200 Fragen Rede und Antwort gestanden wird.…

Weiterlesen

Das Werk aus der Reihe „Neurologische Fallbesprechungen“ ist als praktische Ergänzung zu den klassischen Lehrbüchern gedacht und soll auf…

Weiterlesen

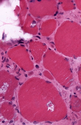
Die Einschlußkörperchenmyositis ist die häufigste entzündliche Myopathie im Alter und eine wichtige Differenzialdiagnose eine stammnahen…

Weiterlesen

Denkt man an Oliver Sacks, so dürfte man seinen Namen in erster Linie mit seinen Fallgeschichten verknüpfen, durch welche Sacks sicher zum…

Weiterlesen

Inzwischen liegt der „Patientenratgeber Kopfschmerzen und Migräne“ in der 4. Auflage vor, die noch einmal inhaltlich erweitert und…

Weiterlesen

Bei der Narkolepsie handelt es sich um eine recht seltene Erkrankung, die gerade einmal bis zu 50 Personen pro 100.000 Einwohner betrift.…

Weiterlesen

Mit zahlreichen Nominierungen und Auszeichnungen prämiert, zeichnet der im Jahr 2014 erschienene Film „Die Entdeckung der Unendlichkeit“ ein…

Weiterlesen
Verschiedene Formen von Bewegungsstörungen begegnen Neurologen in der niedergelassenen Praxis, in der neurologischen Notfallmedizin und im…Weiterlesen